診療内容
MEDICAL

岡本駅出口 バス10分
宇都宮駅 西口 バス20分

6台(医院敷地内)
きれいな歯ぐきを取り戻すガムピーリング
一度、黒ずんでしまった歯ぐきはもう元に戻らないものと諦めてしまっていませんか?
せっかくの白い歯も、黒ずんだ歯ぐきのままでは口元の美しさが半減してしまいます。
当院では、薬剤を塗布することで黒ずみの原因となるメラニン色素の沈着を取り除き、健康的なピンクの歯ぐきを取り戻すことができる「ガムピーリング」を行っております。
こんな場合はご相談ください
詰め物が変色した
見た目にこだわりたい
銀歯が目立つ
セラミック素材を希望
以前治療した箇所が痛む
機能面も重視したい
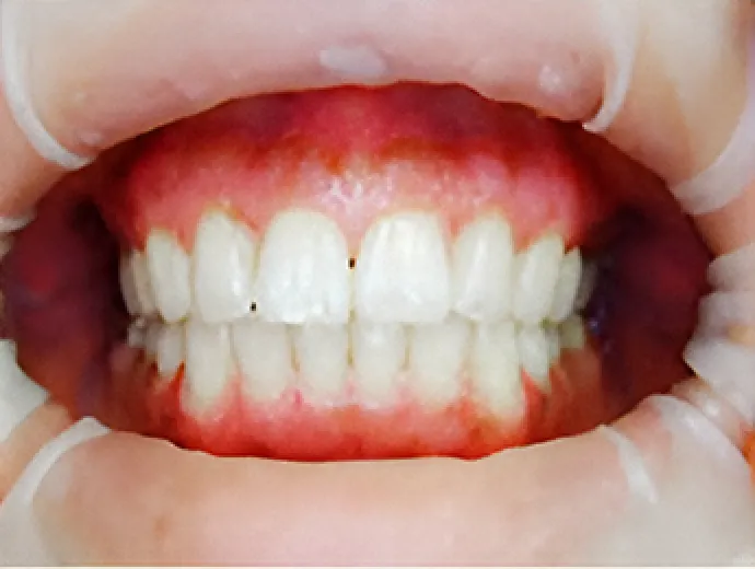
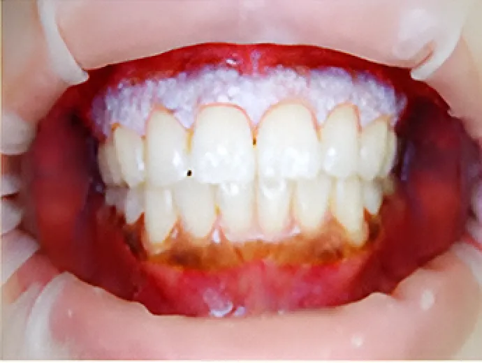
ガムピーリング術前・術中・術後写真
術前
歯肉にメラニン色素沈着を認める状態です。
術中
表面麻酔をした上で薬剤を塗布ス炉事で歯肉の表層が腐食し、白く変色します。多くの方では、この後2日~1週間かけて白く変色した部分が剥離します。メラニンを含む層が剥離し新生した粘膜が出てくることで歯肉の黒ずみを改善します。剥離の期間中は食べ物の刺激や口唇と接触することで痛む場合があります。
術後
施術から1週間ほどで改めて来院いただき、術後の状態を評価していきます。施術を受けた皆様の主観で治療の終了が、追加処置をお選びいただきます。
ー料金表
| ガムピーリング | 初回 | 10,000円 |
| 追加 | 5,000円 |
※料金はすべて税別です
※ ガムピーリングはかぶせ物の金属溶け出しによる黒ずみには対応しておりません。
※ 使用薬剤に含まれるフェノール、アルコールにアレルギーのある方へは施術できません。
※ 詳しくは当院スタッフまでご相談ください。
保険治療で主に使用されている金銀パラジウム合金は、詰め物やかぶせ物に使い勝手の良い金属として長い間歯科治療に用いられてきましたが、金属アレルギーや歯ぐきの黒ずみ、審美的な問題等があります。
保険診療と自由診療の比較
当院では、患者様の健康を第一に考え、体にやさしいメタルフリー治療をお勧めしています。
矯正治療は、歯並びだけを良くするのではなく口腔機能全体の改善を目指します。 一般的なワイヤー矯正だけでなく床矯正も選択できますので、お子さんの歯を抜くことなく矯正治療が可能な場合があります。是非一度ご相談下さい。
ーメタルフリー治療の主な特徴
クラウン
ーe.max(イーマックス)冠
歯科に適した多用な特長を持つ世界最先端のセラミック素材を使用した被せものです。
※ 金属を使用しないメタルフリー治療
ーメリット
・歯科に適した多用な特長を持つ世界最先端のセラミック素材を使用した被せものです。
・金属を使用しないので金属の溶け出しによる歯ぐきの変色・金属アレルギーなどが起こる心配がありません。
【耐久性】★★★★★
【審美性】★★★★★
【使用感】★★★★★
ー料金表
| 単体クラウン | 60,000円 |
| ポーセレン | 75,000円 |
※料金はすべて税別です
ーメタルボンド冠(メタルフレームポーセレン)
メタルボンド冠(メタルフレームポーセレン)
土台の素材に金属を使用し、周りにポーセレン(セラミック)を盛って作った被せものです。
ーメリット
・金属の強度とポーセレンの審美性を併せ持ちます。
ーデメリット
・金属アレルギーの心配があります。
・ポーセレンは強い力が加わると割れる恐れがあります。
【耐久性】★★★★☆
【審美性】★★★★☆
【使用感】★★★★★
ー料金表
| 単体クラウン | 80,000円 |
※料金はすべて税別です
ブリッジ
ージルコニアフレームポーセレン
土台の素材にジルコニアを使用し、周りにポーセレン(セラミック)を盛って作った被せものです。
※ 金属を使用しないメタルフリー治療
ーメリット
・ジルコニアの強度、腐食しない生体親和性の高さとポーセレンの審美性を併せ持ちます。
【耐久性】★★★★★
【審美性】★★★★★
【使用感】★★★★★
ー料金表
| ジルコニアフレームポーセレン | 90,000円 |
※料金はすべて税別です
ーメタルフレームe.max
土台の素材に金属を使用し、周りにe.maxを盛って作った被せものです。
ーメリット
・金属の強度とe.maxの優れた審美性を併せ持ちます。
ーデメリット
・金属アレルギーの心配があります。
【耐久性】★★★★★
【審美性】★★★★☆
【使用感】★★★★☆
ー料金表
| メタルフレームe.max PtGOLDフレーム |
80,000円 |
| Pdフレーム | 80,000円 |
※料金はすべて税別です
歯にかぶせ物をする場合は、それを支える土台を作る必要があります。この土台の作り方には様々な方法があり保険で認められているものは金属で製作します。金属で作った土台の場合、歯の根を破折したり、経年的に歯ぐきが変色する症状が発症する場合があります。
当院では、金属の替わりにファイバーコアの使用をお勧めしています。
ー料金表
| ファイバーコア | 10,000円 |
※料金はすべて税別です
ーファイバーコアの主な特徴
当院では、仮歯にもこだわっています。 仮歯は一時的使用するものなので既製品を使用するケースが多いのですが、当院では患者様にあったオリジナルの仮歯を使用します。