診療内容
MEDICAL

岡本駅出口 バス10分
宇都宮駅 西口 バス20分

6台(医院敷地内)
歯の白さはもちろん、
予防効果が高いホワイトニング
お口周りのホワイトニングとは、薬剤などを用いて歯をより白くすることを言います。喫煙によるヤニ汚れが気になるかた、コーヒーやワインによる着色汚れがついてしまったかたなど、ホワイトニングできれいに落とすことができます。また、ホワイトニングにより歯の表面がつるつるになり、菌が付着しにくくなりますので、むし歯や歯周病予防の効果も期待できます。
ホワイトニングは1回90分の施術を1週間ほどの間隔で合計2回以上行うことで白さの増幅と定着をさせます。薬剤に過酸化水素が含まれており脱水されるため術後に一次的なしみる症状がでることが多くあります。また過酸化水素を分解する酵素カタラーゼを持たない方(無カタラーゼ症)の方への施術はできません。妊娠中、授乳中の方への処置は行っておりません。授乳期間を終えた後であればお受けすることが可能です。
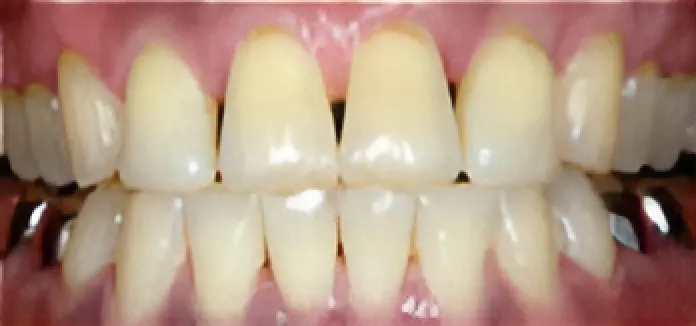
※2回目の施術直後の状態です。効果には個人差があります。
術前
術後
こんな場合はご相談ください
歯が黄ばんでいる
歯をもっと白くしたい
ステインが気になる
輝くような白さにしたい
ヤニ汚れが取れない
短期間で白くしたい
| 項目 | オフィスホワイトニング | セルフホワイトニング |
|---|---|---|
| 即効性 | 高い | 低い |
| 効果(歯の表面) | 着色汚れやヤニ汚れを除去 | 着色汚れの一部を除去 |
| 効果(歯の内部) | 漂白して本来以上の白さになる | 効果なし |
| 仕上がりムラ | ほぼなし | 使用者による |
| コスト | 数万円〜(保険適用外) | 数百円〜 |
オフィスホワイトニング
ペースト状のプロテクター、またはラテックス製シートで口腔粘膜や唇を保護します。ホワイトニング剤を対象となる歯に塗布した後、光を照射します。歯科治療と同じように、診療用チェアユニットに座って行います。20~30分で1クールの治療が完了します。
短時間で効果が出るので結婚式等、急な用事の前におすすめです。
※ 短時間で効果がでますが、元の状態に戻りやすい欠点があります。
※ 高濃度の薬剤を使用するため、一部の天然歯だけが対象となります。
※ 歯の表層のみが白濁して不自然に見える場合があります。
※ 1回2時間の施術を1週あけて2回行ないます。
※ 術後24時間は食事や嗜好品の内容制限があります。
ー料金表
| オフィスホワイトニング | 30,000円 |
※料金はすべて税別です
ホームホワイトニング
従来必要だった個人にあったマウスピーストレーの製作が不要な新しいホワイトニングシステムです。
1日90分最大10日間が1クールです。ご自身の歯以外は白くなりません。(詰め物、かぶせ物など)
※ ホームホワイトニングは必ず医師の指導の下に行ってください。
※ ホワイトニングの効果には個人差があります。
※ 汚れや着色、歯石などがある場合、本来のホワイトニング効果を発揮しない場合があります。
事前のクリーニングをお勧めします。
ー料金表
| 初回 | 診断+クリーニング+使用法説明+販売 | 30,000円 |
| 診断+使用法説明+販売 | 17,000円 | |
| 2回目以降 | クリーニング+販売 | 20,000円 |
| 販売のみ | 12,000円 |
※料金はすべて税別です
ウォーキングブリーチ
失活歯の根管内に薬剤を入れ変色を回復する方法です。
治療回数は2~5回。
※ 薬剤の封入による歯質の劣化を考慮し、最大回数を5回に設定しています。
ーメリット
・かぶせ物にせず色調の回復を期待できる。
ーデメリット
・歯質が脆くなる場合がある。まれに歯肉に痛みが出る場合がある。
・ご希望の明るさまで色調を改善できない場合がある。
ー料金表
| ウォーキングブリーチ | 10,000円 |
※料金はすべて税別です